SOBRE NÓS
Desde 2005 evoluindo para oferecer o que há de melhor na radiologia odontológica. Oferecemos um serviço rápido, para otimizar seu tempo e seu tratamento.
Temos como objetivo, ser referência como centro de diagnóstico em termos de inovação, qualidade e eficiência na prestação de serviços, assim como pela humanização dos atendimentos e pela satisfação dos clientes e colaboradores. Expandir nossa rede de atendimento de maneira a oferecer a seus usuários e associados as melhores condições de trabalho, proporcionando desenvolvimento e promoção da saúde.
Também prestar serviço de diagnóstico facial aos profissionais da área da saúde, oferecendo suporte ao tratamento clínico por meio de exames de alta qualidade e resultados confiáveis, buscando sempre investir no aprimoramento dos serviços e na satisfação dos nossos clientes, pacientes, colaboradores e associados.
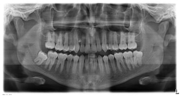
RADIOGRAFIAS DIGITAIS

Radiografias Panorâmicas
Cefalométricas
Carpal
Frontal
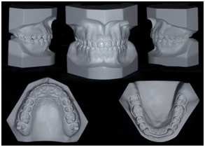
DOCUMENTAÇÕES ORTODÔNTICAS

Radiografias Digitais com Laudos e Análises
Modelos em Gesso
Fotografias Intra-Orais e Extra-Orais
TOMOGRAFIA COMPUTADORIZADA

Exame Tridimensional dos Maxilares
Tomógrafo de Altíssima Resolução
ESCANEAMENTO INTRAORAL

Escanamento intraloral que elimina completamente a documentação física
